Ortopedia funcional en niños: cuándo empezar y por qué es clave para su sonrisa y crecimiento
ORTOPEDIAORTODONCIAHÁBITOS ORALES
Dra. Andrea barona
2/20/2026


La ortopedia funcional es una especialidad de la odontología infantil que se enfoca en guiar el crecimiento de los huesos maxilares y la mandíbula mientras el niño aún está en desarrollo.
A diferencia de la ortodoncia tradicional, que mueve dientes, la ortopedia funcional actúa sobre:
El crecimiento óseo
Los músculos faciales
La oclusión
Los hábitos orales
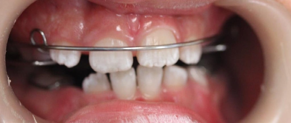
Se utilizan aparatos removibles, cómodos y personalizados, diseñados para estimular un desarrollo equilibrado del rostro y la boca.
Lo más importante: estos cambios son mucho más fáciles de lograr durante la infancia, cuando el cuerpo todavía está en etapa de crecimiento.
¿Cuándo es recomendable empezar un tratamiento de ortopedia funcional?
El mejor momento para iniciar un tratamiento de ortopedia funcional suele ser entre los 4 y 10 años, cuando los huesos son más moldeables y los resultados son más rápidos y efectivos.
Señales de alerta que indican una evaluación temprana
Es recomendable acudir al especialista si tu hijo presenta:
Mordida cruzada (los dientes superiores muerden por dentro de los inferiores)
Respiración oral frecuente
Dificultad para masticar o pronunciar algunas palabras
Uso prolongado del chupón o succión del dedo
Mandíbula muy adelantada o retraída
Cara asimétrica o crecimiento desigual
Detectarlo a tiempo puede evitar tratamientos más complejos en el futuro.
Beneficios de la ortopedia funcional en la infancia
Actuar temprano tiene enormes ventajas para la salud y bienestar del niño:
1. Guía el crecimiento óseo correctamente: Ayuda a que el maxilar y la mandíbula crezcan en armonía, evitando deformaciones o desbalances.
2. Previene tratamientos largos o cirugías en el futuro: En muchos casos reduce la necesidad de ortodoncia compleja o cirugía ortognática en la adultez.
3. Mejora la respiración y la postura: Especialmente en niños que respiran por la boca, ayudando también a un mejor descanso.
4. Favorece la estética facial: Contribuye a un rostro más simétrico y equilibrado durante el crecimiento.
5. Refuerza la autoestima infantil: Una sonrisa funcional y bonita mejora la seguridad del niño al hablar, reír y socializar.
La infancia es mucho más que una etapa de crecimiento físico: también es el momento en el que se forma la base de una sonrisa saludable para toda la vida.
Muchos padres creen que los problemas dentales deben tratarse únicamente cuando aparecen los dientes definitivos o en la adolescencia con brackets. Sin embargo, lo que pocos saben es que los huesos maxilares y la oclusión pueden corregirse desde edades tempranas, evitando complicaciones futuras.
Aquí es donde entra la ortopedia funcional en niños, una terapia preventiva y altamente efectiva que puede marcar una gran diferencia en el desarrollo facial y bucal.
En este artículo te explicamos qué es, cuándo iniciar y por qué puede ser una de las mejores decisiones para la salud de tu hijo.
¿Qué es la ortopedia funcional de los maxilares?
Diferencias entre ortopedia funcional y ortodoncia
Es común que los padres confundan ambos tratamientos, pero cumplen funciones distintas:
Ortopedia funcional
Actúa sobre huesos y músculos
Se realiza en niños pequeños
Previene problemas mayores
Enfocada en crecimiento facial
Ortodoncia
Actúa sobre dientes
Se realiza en adolescentes o adultos
Corrige alineación dental
Enfocada en estética y oclusión funcional
La importancia de corregir hábitos orales
Uno de los pilares de la ortopedia funcional es eliminar hábitos que afectan el desarrollo facial, como:
Succión del dedo
Uso prolongado de biberón o chupón
Respiración bucal
Deglución atípica (empujar dientes al tragar)
Los aparatos funcionales ayudan a reeducar los músculos y asegurar un crecimiento saludable.
El papel fundamental de los padres
El éxito del tratamiento depende en gran parte del acompañamiento familiar.
Como son aparatos removibles, es importante:
Supervisar el uso diario según indicación
Mantener una higiene adecuada
Asistir a controles periódicos
Motivar al niño con paciencia y apoyo
Cuando los padres se involucran, los resultados son mucho mejores.
¿Qué pasa si no se actúa a tiempo?
Cuando un problema de crecimiento maxilar no se trata durante la infancia, puede derivar en:
Mordidas abiertas o profundas difíciles de corregir
Extracciones dentales en la adolescencia
Asimetrías faciales permanentes
Ortodoncia prolongada
Cirugía ortognática en la adultez
Por eso, actuar temprano es siempre la mejor inversión.
Conclusión: una sonrisa sana comienza en la infancia
La ortopedia funcional en niños no solo alinea dientes: guía el crecimiento facial, corrige hábitos y previene complicaciones futuras.
Comenzar en el momento adecuado puede asegurarle a tu hijo una sonrisa armónica, saludable y equilibrada para toda la vida.
¿Quieres saber si tu hijo necesita ortopedia funcional?
La Dra. Andrea Barona Triviño realiza una evaluación personalizada para cada niño, utilizando tecnología avanzada y un enfoque humano para guiar el crecimiento de los más pequeños.
Agenda una cita de valoración y asegura a tu hijo una sonrisa sana desde la infancia




